¿Necesita implantes dentales?
Sus dientes fijos sobre 4 implantes por 4.900€ por arcada
Dentadura completa por sólo 9.800€
Financiación sin intereses hasta en 36 meses
Técnica All on Four
La mejor técnica para recuperar su sonrisa
La técnica All on Four consiste en ofrecer a quienes sufren una pérdida total o parcial de sus dientes una prótesis dental de arcada completa fija sobre cuatro implantes dentales el mismo día de la intervención.
- Resultados inmediatos. El mismo día de la intervención el Dr. Reverte coloca al paciente una prótesis de arcada completa fija sobre cuatro implantes.
- Tratamientos mucho más breves. Frente otras tecnologías, se requiere menos tiempo y menos intervenciones.
- Una técnica ideal para los pacientes edéntulos o sin dientes con poco hueso.
- Precios más económicos que otras tecnologías similares.
- Sedación consciente. Contamos con la posibilidad de realizar sedación consciente. Así, el paciente está totalmente tranquilo durante la cirugía.
- Radiografia 3D. Asistidos por las técnicas de imagen en 3D podemos valorar con precisión el volumen del hueso del paciente para poder planificar con precisión la colocación de dichos implantes.
Esta técnica nos permite colocarle dientes fijos en pocas horas, sin ningún estrés ni molestia postoperatoria
Reserve su cita en la clínica y recupere su sonrisa al mejor precio y sin dolor:
Vídeo animación All on Four. Haga click en la imagen para verlo
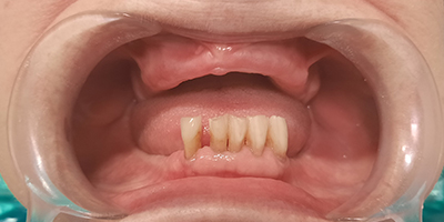
Gracias a la técnica All on Four cientos de personas ya han recuperado su sonrisa con nosotros
Compruebe usted mismo los resultados.
(Desplace la barra lateralmente para ver los resultados)






Ahora dentadura completa fija con implantes por sólo 9.800€
o por 4.900€ si sólo precisa media dentadura
Financiación sin intereses hasta en 36 meses
Hola, soy el doctor Alejandro Reverte
Especialista en Estética Dental e Implantología avanzada
- A la vanguardia de las más modernas técnicas de la ciencia odontológica.
- Somos un equipo cercano y apasionado por sus pacientes.
- La ética y los valores humanos son la primera herramienta en nuestro día a día.
- We speak english – نتكلم عربي – Говорим по-русски
Le ofrecemos un trato directo, personalizado y financiación a medida y sin intereses hasta 48 meses.
Radiografías en 3D
Haga clic para ver el vídeo
Sedación consciente
Haga clic para ver el vídeo
Dental Reverte Valencia
Carrer de Rubén Darío, 22, 1º,
46021 Valencia
Teléfono 621 33 79 61